Porcelain Crowns
Applied Procedures:
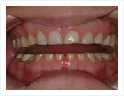
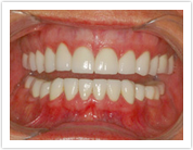
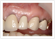
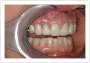
Porcelain Crowns
![]() |
![]() |
| Before Photo | After Photo |
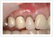
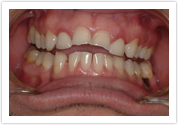
![]() |
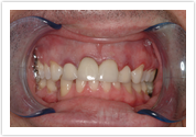
![]() |
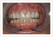
| Before Photo | After Photo |
New crowns after Periodontal surgery.








