Teeth Whitening
Applied Procedures:
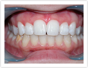
Teeth Whitening
![]() |
![]() |
| Before Photo | After Photo |
Applied Procedures:
Teeth Whitening
![]() |
![]() |
| After Photo | After Photo |




