Dental Veneers
Applied Procedures:
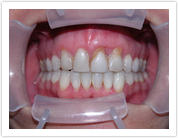
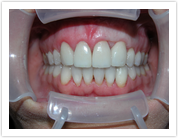
Dental Veneers
![]() |
![]() |
| Before Photo | After Photo |
Applied Procedures:
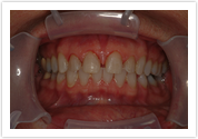
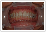
Dental Veneers
![]() |
![]() |
| Before Photo | After Photo |
Applied Procedures:
Dental Veneers
![]() |
![]() |
| Before Photo | After Photo |






