Dental Implants
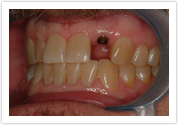
![]() |
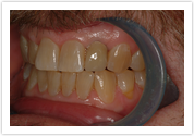
![]() |
| Before Photo | After Photo |
Applied Procedures:
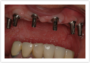
Dental Implants
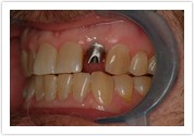
![]() |
![]() |
| Before Photo | After Photo |
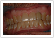
![]() |
![]() |
| Before Photo | After Photo |
Applied Procedures:
Dental Implants
![]() |
![]() |
| Before Photo | After Photo |








